
Makeup Transformation I AM UGLY SOY FEA! Cirurgia Plástica #makeup
Makeup Transformation makeup, maquillaje, make, tutorial, maquiagem #makeuptutorial #lacewig #Transformation #straighthairwig #hair #makeup #sheglam _ _ _ _ _ _ _ _ _ _ _ _ _ _ _ _…

Gynecomastia result After 1.5 years | Patient Feedback
WhatsApp Your Details to know the Cost Delhi – 9717470550, 8956880644 Pune – 9222122122 Bangalore- 8971224700 Gurugram – 9272007896 Ahmedabad – 9711162746 Gynecomastia result after 1.5 years. Gynecomastia surgery is…

UNBLOCK FALLOPIAN TUBES WITH THIS HERB I Jamaican Remedy for Womb Health
Hey Family, in this video, we go a bit more in detail on the Jamaican Inflammation Weed or Dog Blood Bush that has been used to treat fertility for time…

How to protect your skin from Pollution | Dr Snehal shares expert tips to keep your skin healthy
Hi Bio- Fam, Air pollution and other environmental factors can make your skin health worse. It is time to take the right action to safeguard the skin from different problems!…

Flakes so nice, I scratched her twice! #3
To support this channel I would be grateful To accept a $5 cash donations at cashapp $CarlaTarkington Your favorite client is back with more eruptions than ever. After being away…

Your facial routine is as easy as CTM
Our highly treatment products are produced from the best essential oils and plant extracts which are sourced from the very best crops around the world. Our natural products treat you…

The Best Hair Loss Clinic will offer Diagnosis
The Best Hair Loss Clinic will offer Diagnosis To treat hair concerns such as hair loss and hair thinning one must understand the symptoms and associated causes by visiting or…

Pacifica Kind Tint Tinted Serum summer foundation review
I love reviewing complexion launches! Foundations and concealers and tinted moisturizers are so hard to create and even harder to find when you are a consumer looking to match up…

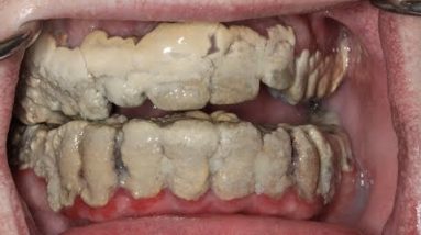
20 Years Without Brushing Teeth 😦 | Calculus Removal
The most extensive calculus removal we have ever performed at our office. Most of us brush our teeth every day (or at least claim to) but this man has a…

Symptoms of lacking vitamins
Lack of vitamins can cause a variety of symptoms depending on which vitamin is lacking. Here are some of the common symptoms associated with vitamin deficiencies: Vitamin A deficiency: night…