1682679913 maxresdefault

NIVEA Nourishing Skin Firming Body Lotion with Q10 and Vitamin C, 16.9 Fl Oz Pump Bottle

NIVEA Nourishing Skin Firming Body Lotion with Q10 and Vitamin C, 16.9 Fl Oz Pump Bottle Amazon Product Link: Firmer Skin Fast: Dermatologically tested NIVEA skin firming lotion helps firm…

1682678623 maxresdefault

How to use Black Seed Oil for Eczema, & Detoxing. (Does it work?)

Black seed oil & eczema. Welcome to True Pure Health. We will discuss any health related topics on this channel. Thank you for coming. Subscribe if you’d like. Subscribe if…

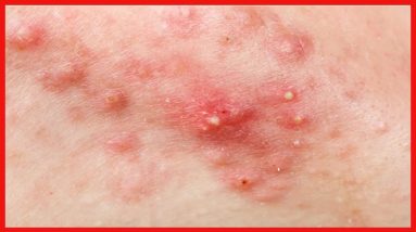
1682678529 maxresdefault

How I treat my eczema/dry hands

source

1682678055 maxresdefault

¿Por qué me aparecen granos en las nalgas?

¿Por qué me aparecen granos en las nalgas? Subscribe: source

1682676519 maxresdefault

DutchBoy – It's Only Paint – 30 sec.

source

1682676335 maxresdefault

12 Infant Nutrition Do's & Don'ts | Baby Development

Full Playlist: – – Watch more Newborn & Baby Development videos: All babies are either drinking breast milk or infant formula exclusively until four months of age. We do not…

1682676208 hqdefault

kujli Problem solution, Itching Skin , Ringworm, Skin , Hives, Eczema, Itching Problems Home Remedy

Home Remedy For Itching Skin , Ringworm, Skin Rashes , Hives, Eczema, Itching Problems Home Remedy Rey Naturals Cold Pressed Castor Oil, 200ml WOW Apple Cider Vinegar No Parabens &…

1682674795 maxresdefault

Nizoral – Get to the root of your dandruff problem

source

1682674418 maxresdefault

Natural Remedies For Angular Cheilitis

Natural Remedies For Angular Cheilitis Do you suffer from AC and want to look normal again? Click here ► Subscribe To Our Channel! ► Symptoms of angular cheilitis are similar…

1682672765 maxresdefault

100% गारंटी है स्किन एलर्जी दूर करने की skin allergy | Home Remedies

#skinallergy #HomeRemedies Temporary outbreak of red, bumpy, scaly or itchy patches of skin, possibly with blisters or welts. Common causes of this symptom Skin rashes can have causes that aren’t…